トップへ » 新着記事一覧
新着記事一覧
-
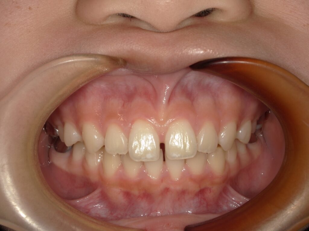
医院ブログ 2025/08/23【前歯のすき間が気になる方へ】正中離開の原因と矯正治療方法をわかりやすく解説
-
医院ブログ 2025/08/23部分入れ歯をしていてもインビザライン矯正はできる?
-
医院ブログ 2025/08/19【なぜ?】上だけ or 下だけ歯並びが悪い理由とは?原因と対処法を解説!
-
医院ブログ 2025/08/19【再矯正治療】なぜ歯は後戻りするのか?
-
医院ブログ 2025/08/18子どもの前歯のガタガタが心配 いつから矯正治療をするべき?
-
医院ブログ 2025/08/18保定装置はいつやめていい?矯正後のリテーナー生活を正しく理解しよう
-
医院ブログ 2025/08/17子どもの矯正装置どっちがいいの?取り外し式 vs 固定式のメリット・デメリット徹底比較
-
医院ブログ 2025/08/17【マウスピース矯正】インビザライン矯正中、飲み会のある日はどう過ごす?
-
医院ブログ 2025/08/09【前歯が見えない】過蓋咬合を放っておくとどうなる?起こりうる弊害と早めの対策
-
医院ブログ 2025/08/09【マウスピース矯正】インビザラインと仕事中の過ごし方〜快適に治療を進めるためのコツ〜











〒497-0034