トップへ » 新着記事一覧
新着記事一覧
-
医院ブログ 2025/07/06【矯正治療をすると顎関節症になる?】原因と関係性を正しく理解しよう
-
医院ブログ 2025/07/06【矯正治療と虫歯】治療前に虫歯があるとどうなる?矯正中のケア方法も解説!
-
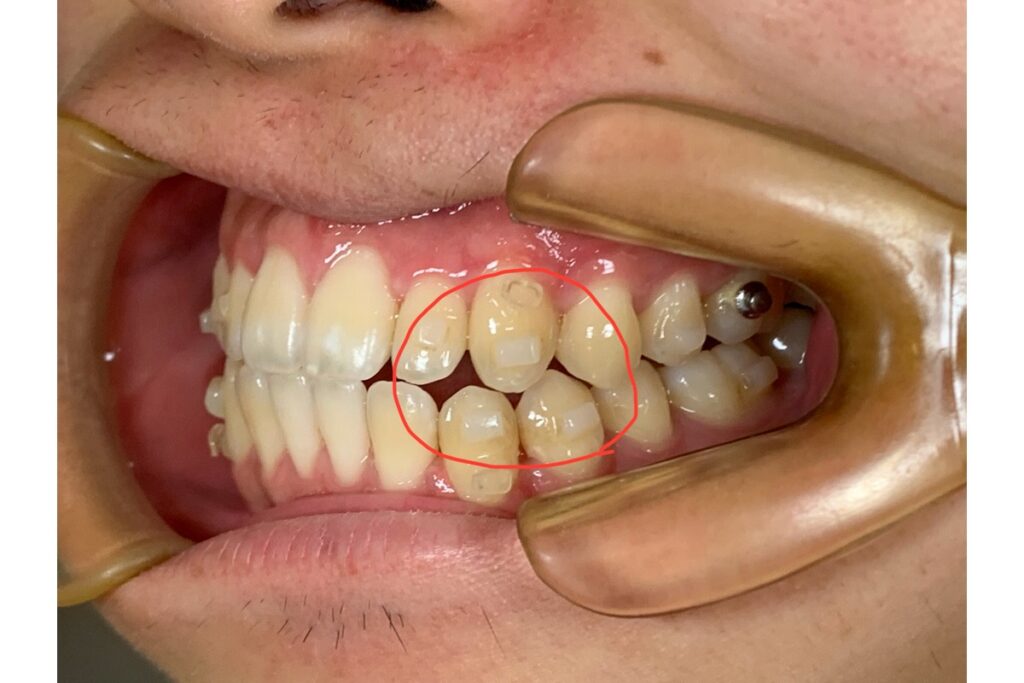
医院ブログ 2025/07/05【インビザライン矯正】開咬治療症例
-
医院ブログ 2025/07/05インビザライン矯正後の“リテーナー”とは?|種類と注意点をわかりやすく解説!
-
医院ブログ 2025/07/04インビザライン矯正後のアタッチメント除去と仕上がりの見た目は?気になる疑問を解説!
-
医院ブログ 2025/07/04矯正治療中のむし歯対策
-
医院ブログ 2025/07/01ガミースマイルは日本人に多い?
-
医院ブログ 2025/07/01夏休みは矯正治療の始めどき!理由とメリットとは?
-
医院ブログ 2025/06/30中学生の矯正あるある!子どもが感じるストレスとその対処法
-
医院ブログ 2025/06/30インビザライン矯正でアタッチメントが“必要ない”ケースも?|誰でも必要な訳ではない?











〒497-0034