トップへ » 新着記事一覧
新着記事一覧
-
医院ブログ 2025/08/01【矯正しないことで損していること5選】見た目だけじゃない、本当のリスクとは?
-
医院ブログ 2025/08/01頬杖をつくことで起こる歯並びへの影響 〜無意識のクセが未来の口元を変える〜
-
医院ブログ 2025/07/29歯並びが遺伝するって本当?親子で注意したい成長期の癖
-
医院ブログ 2025/07/29抜歯矯正を行う人の歯並びの特徴とは?〜必要性と判断基準を解説〜
-
医院ブログ 2025/07/28矯正治療中に起こる知覚過敏とは?原因と対処法をわかりやすく解説
-
医院ブログ 2025/07/28【反対咬合】受け口を放っておくと歯はどうなるのか?
-
医院ブログ 2025/07/27【インビザライン】歯が抜けたまま放置するとどうなる?放置のリスクと治療の選択肢
-
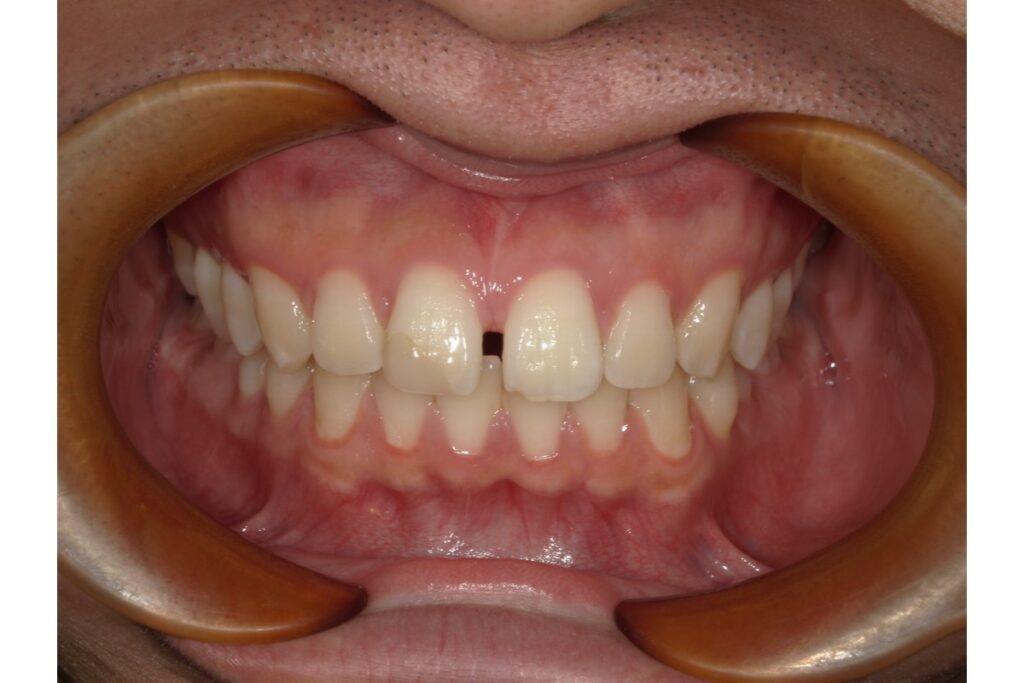
医院ブログ 2025/07/27正中離開の原因とは?前歯のすき間ができる理由
-
医院ブログ 2025/07/26矯正治療で“かみ合わせ”を整えると体にも変化が? 〜見た目だけじゃない、矯正の本当のメリット…
-
医院ブログ 2025/07/26【親子で矯正する時代?】親子で始める矯正治療のすすめ











〒497-0034