トップへ » 新着記事一覧
新着記事一覧
-
医院ブログ 2025/06/21ゴボ口の人がインビザライン矯正を受けるときの治療ポイントとは?
-
医院ブログ 2025/06/21アジア人に向いている矯正治療法とは?~骨格・顔立ち・文化に合わせたベストな選択~
-
医院ブログ 2025/06/20【インビザライン】外食・旅行・ランチ会 矯正中の“付き合い”どうする?
-
医院ブログ 2025/06/20【歯肉退縮】矯正治療で歯茎が下がる原因とその対策
-
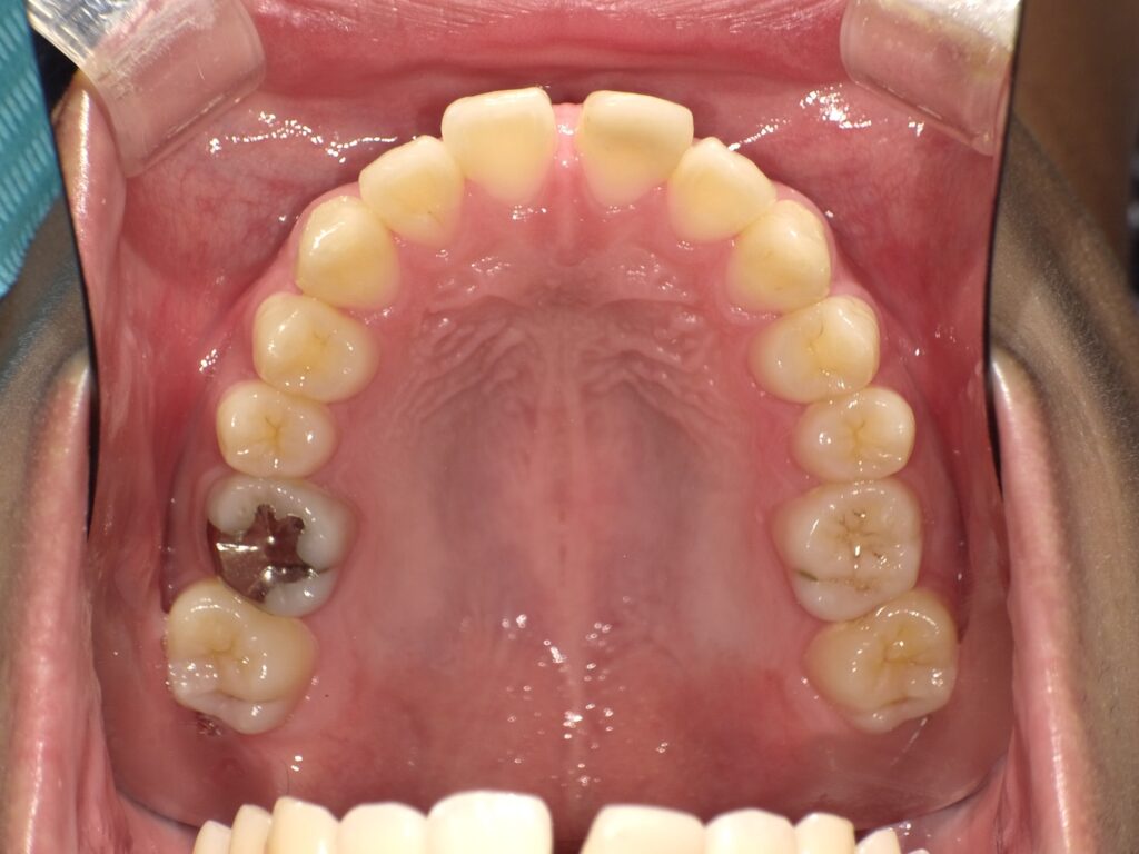
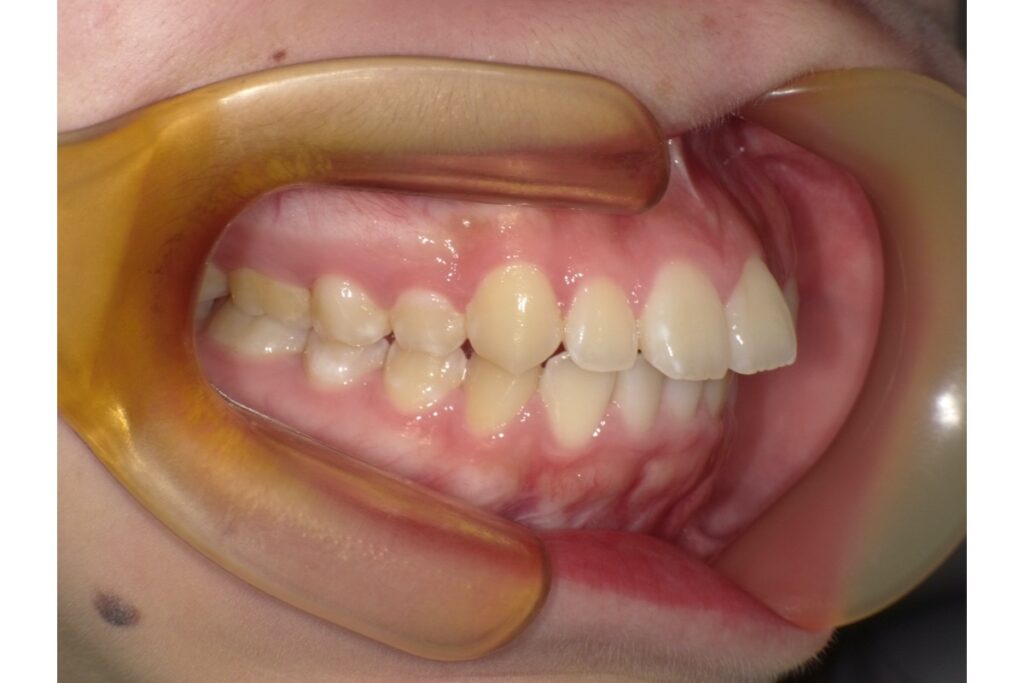
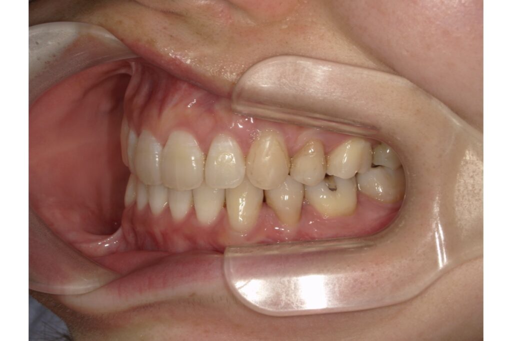
医院ブログ 2025/06/17【インビザライン矯正】ゴボ口治療症例
-
医院ブログ 2025/06/17バッカルコリドーと矯正治療の深い関係~笑顔の印象は“隙間”で決まる?
-
医院ブログ 2025/06/16ゴボ口と歯列矯正の関係~口元を変えるだけで印象は大きく変わる~
-
医院ブログ 2025/06/16【バッカルコリドー】ハリウッドスマイルと日本人の笑顔の違い
-
医院ブログ 2025/06/15アジア人とアフリカ系の人の歯並びの違い
-
医院ブログ 2025/06/15【インビザライン矯正】すきっ歯の治療症例











〒497-0034