トップへ » 医院ブログ » 【インビザライン矯正】ゴボ口治療症例
【インビザライン矯正】ゴボ口治療症例
医院ブログ
2025/06/17
こんにちは、名古屋西矯正歯科クリニックです🦷
今回はゴボ口の方のインビザライン矯正による治療症例のご紹介になります。
■ 治療方法
- 使用した矯正装置:インビザライン
- 治療期間:1年7カ月
- 通院頻度:2ヶ月に1回
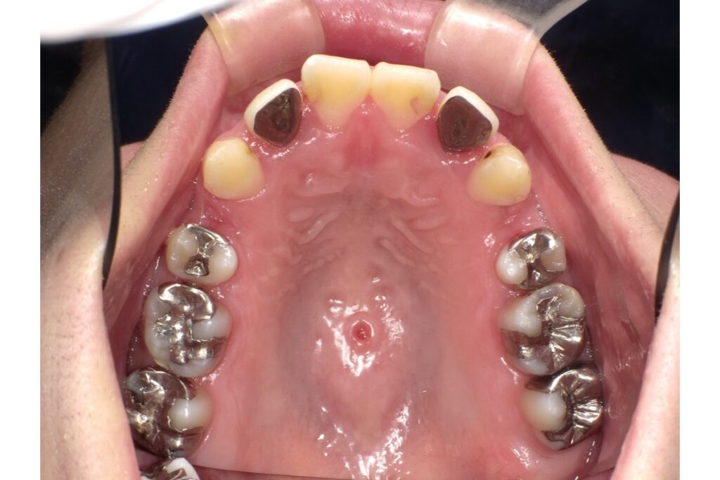
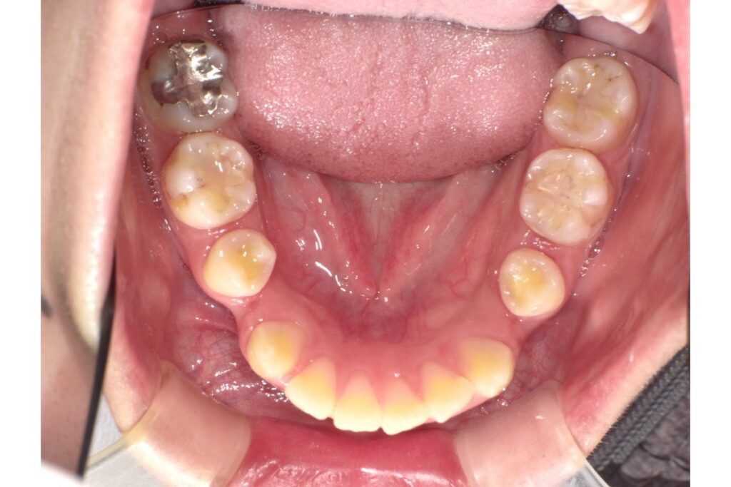
■ 治療前後の写真
・【治療前】

・【治療後】

治療前後の写真を比較すると、歯の突出感がなくなっていることがよくわかるかと思います。
ゴボ口とは、上下の前歯や唇、口元全体が顔の前方に突出して見える状態のことを指すため、出ている部分を引っ込めるために抜歯での矯正治療を行うことが多いです。
歯を抜いてに治療になるので、治療期間は非抜歯の治療と比べると約半年ほどは長くなることが多いですが、加速装置を併用することで抜歯治療でも1年半ほどで終了できる場合もあります。
矯正治療による抜歯矯正は、むし歯などで歯を保つことが出来ず抜歯を行うのではなく、健康な歯を抜き治療を行っていくので抵抗があるかもしれません。ですが、口元の突出感や横顔をきれいに治したい!となると、抜歯矯正が一番です。
横顔が変わることで、お顔の印象もなにか変化があるかと思います☺
ゴボ口を治したいなとお考えの方、どういった治療方法で治療を行うのか、矯正治療に関するお悩みはぜひ無料カウンセリングでご相談ください。
下記のLINEよりお問合せが可能です。お気軽にご連絡ください✉













〒497-0034