トップへ » 新着記事一覧
新着記事一覧
-
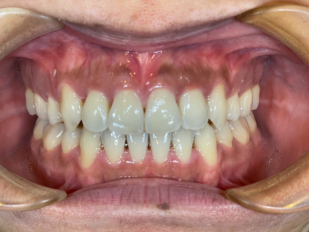
医院ブログ 2025/10/11歯の大きさがアンバランスだと矯正に影響する?原因と対処法を解説
-
医院ブログ 2025/10/11舌癖で奥歯が傾く?知らないうちに歯列に影響を与えるクセとは
-
医院ブログ 2025/10/07歯列矯正で自己肯定感は上がる?見た目と心の変化を徹底解説
-
医院ブログ 2025/10/07第一印象は“口元”で決まる?見た目に影響する3つのポイントとは
-
医院ブログ 2025/10/06マウスピース矯正は冬がベストタイミング?寒い季節に始めるメリットとは
-
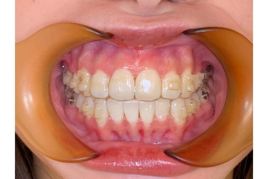
医院ブログ 2025/10/06IPRありで行う矯正治療と、なしで行う矯正治療の違いとは?
-
医院ブログ 2025/10/05口元の見た目を短期間で改善|年末までにできる審美歯科・ホワイトニング治療とは?
-
医院ブログ 2025/10/05矯正が終わっても歯の見た目に満足できない理由~見た目を左右する本当の要因とは?~
-
医院ブログ 2025/10/04矯正後にブラックトライアングルができる人・できにくい人の違い
-
医院ブログ 2025/10/04歯肉ブリーチとは?黒ずんだ歯ぐきをピンクに戻すケア法











〒497-0034