トップへ » 新着記事一覧
新着記事一覧
-
医院ブログ 2025/10/27【非抜歯矯正】顎が小さい人の矯正は難しい?非抜歯でできるって本当?
-
医院ブログ 2025/10/26【矯正中の疑問】顎間ゴムをしても噛み合わせが良くならない?効果が出ない6つの原因と対策
-
医院ブログ 2025/10/26歯並びと発音障害の関係|治療で改善する?
-
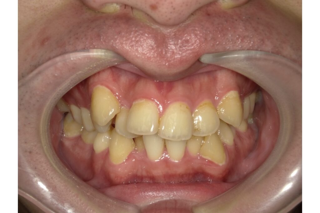
医院ブログ 2025/10/25八重歯をきれいに治すには?治療期間と抜歯の有無を徹底解説!
-
医院ブログ 2025/10/25【矯正中の疑問】顎間ゴムはいつまで続く?期間の目安と外すタイミングを歯科医が解説
-
医院ブログ 2025/10/24顎の成長はいつ止まる?矯正歯科医が語る成長時期と成長ホルモンの影響
-
医院ブログ 2025/10/24🎃ハロウィンのお菓子で矯正中でもOKなものは?注意点とおすすめスイーツ紹介!
-
医院ブログ 2025/10/20ガタガタ歯を治す矯正方法と治療期間の目安|大人も子どもも治療できる?
-
医院ブログ 2025/10/20【矯正専門医が解説】本当に多い「矯正治療の間違った知識」
-
医院ブログ 2025/10/19営業・接客業でも矯正はできる?仕事と両立するための治療法と工夫を解説











〒497-0034