トップへ » 新着記事一覧
新着記事一覧
-
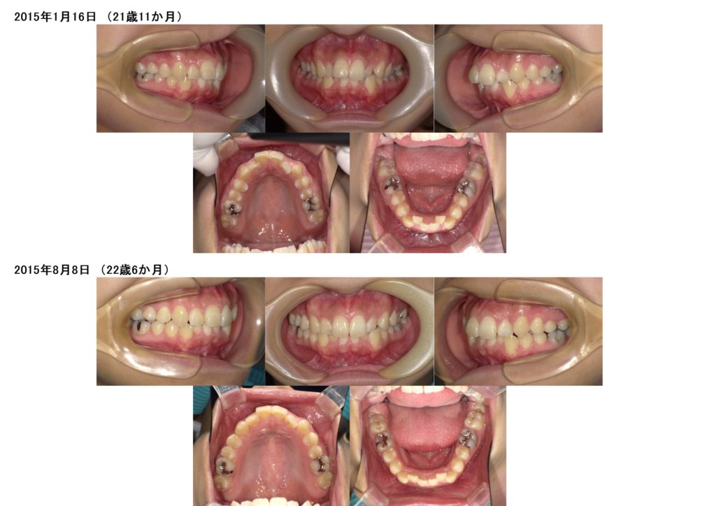
医院ブログ 2020/10/09先天性欠如の方のインビザライン治療例
-
医院ブログ 2020/10/03インビザライン 抜歯 治療例
-
医院ブログ 2020/09/25インビザラインの治療が終わったら、、、、
-
医院ブログ 2020/09/07矯正治療をするなら今!!
-
医院ブログ 2020/08/24矯正治療 ブラケット装置の外し方
-
医院ブログ 2020/08/088月8日は歯並びの日
-
医院ブログ 2020/07/21痛みの少ないブラケット セルフライゲーションブラケット
-
医院ブログ 2020/07/03iTero 口腔内光学印象
-
医院ブログ 2020/06/20インビザライン アタッチメントとは
-
医院ブログ 2020/06/12インビザラインの患者様用アプリOrthocomm導入











〒497-0034