トップへ » 医院ブログ » 先天性欠如の方のインビザライン治療例
先天性欠如の方のインビザライン治療例
当院でも先天性欠如の患者様は多くいらっしゃいます。
(生まれつき永久歯がない方)
先天性欠如の方はどうしても噛み合わせにズレがあったり、上下のバランスが取れていなかったり、隙間があいてしまったり、、、、と色々な症状が出ていると思います。
もちろん、先天性欠如でなくても、昔、歯医者さんで永久歯を抜いてしまったり、、、、(←これ、意外によくあるんですよ、矯正治療の場合、抜歯する歯はある程度部位が決まっています。もちろんむし歯の状況によって他の歯を選択せざる負えない場合もあります。しかし、他の歯が生えてこれないから抜歯、とか、ガタガタだから下の前歯抜いたら?とか、八重歯だからその歯抜こうとか、結構話を聞くと抜かれてしまったケースとかあります、、、、。その前に一度相談して欲しい!!矯正歯科に相談して欲しかった!!って本当に思います)
患者様の状況によって治療例はいくつかあります。
歯の本数を整えるために他の歯を抜く可能性もありますが、しっかりと精密検査をし、患者様一人ひとりの骨格を分析した結果で治療方法を提供しますので、一度ご相談くださいね☆

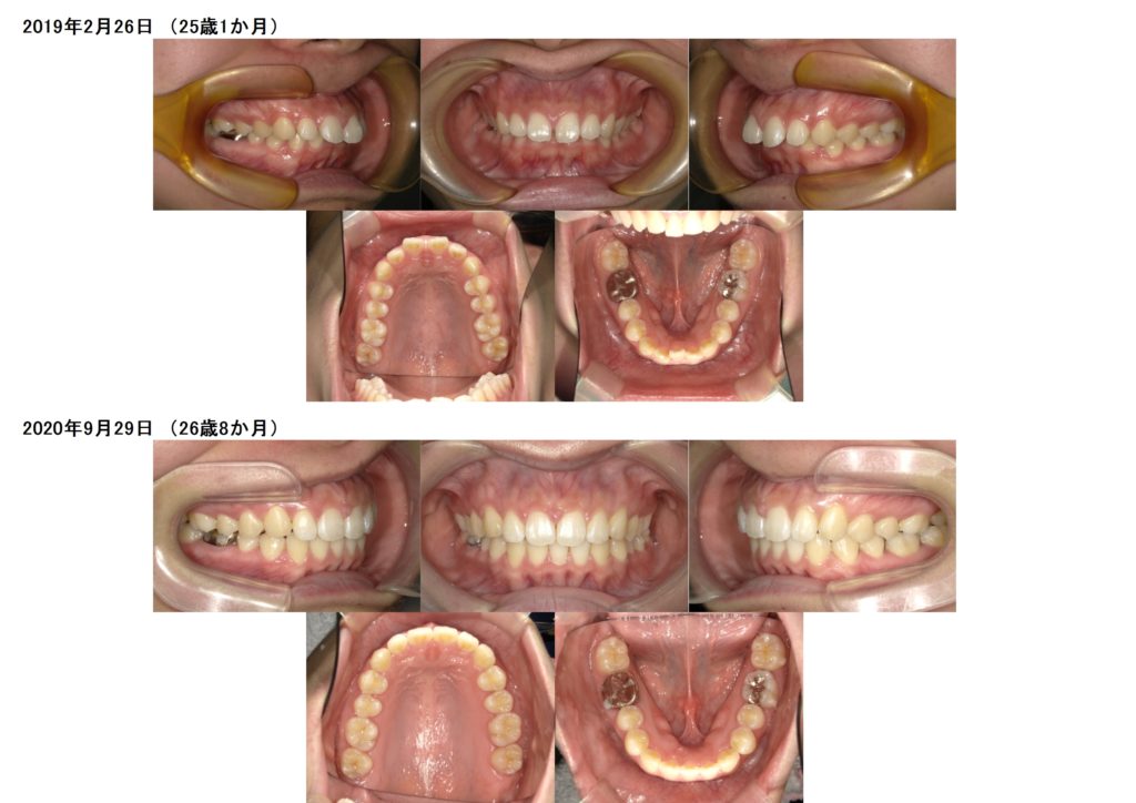
↑この方は下の1番目の左側が1本先天性欠如です。
診断例としては抜歯をせず、中心がピッタリとあいませんが、骨の正中など考慮し他の歯を抜歯せずに治療します。
上顎前突(上の顎が突出)なのが写真を見て分かります。
初めからインビザラインのマウスピースを使用し治療を開始しました。
約1年ほどで、噛み合わせ、上の歯の隙間、前突部分、上下のアーチがここまで変化したのが分かると思います。

↑下の写真で上の前歯から数え3番目の歯に左右透明のボタンを装着し、ここから噛み合わせの微調整を開始します。
ほんの少しのズレや噛み合わせの甘いところを新たにアタッチメントを増やしたりしながらとっても地道な作業です、、、、、。

約5カ月ほど地道な作業を行い、治療の終了となります。
今後は、キレイな歯並び噛み合わせを維持するためにリテーナーをしっかりと使用して頂きます☆

治療前、治療後のお写真を比較してみるととってもキレイになりましたよね☆
インビザラインのマウスピースの使用だけで、
前突
前歯の隙間
上下のアーチ
噛み合わせ
ここまで当院の治療はキレイになります☆
治療に妥協はしません。なので、患者様にもしっかりと協力していただくことはあります。
患者様の協力なしでは治療の成功はありません。











〒497-0034