トップへ » 新着記事一覧
新着記事一覧
-
医院ブログ 2022/04/01舌の癖をしっかり治そう!!「舌の位置編」
-
医院ブログ 2022/03/25親知らずの抜歯
-
医院ブログ 2022/03/20口腔内写真 撮影の注意点
-
医院ブログ 2022/03/19マウスピース治療 失敗をしないために
-
医院ブログ 2022/03/12カウンセリングから治療開始までの流れ
-
医院ブログ 2022/03/06男性の方も矯正治療を!! フルブラケット治療 マウスピース治療
-
医院ブログ 2022/03/04ブラケット矯正 ワイヤー交換
-
医院ブログ 2022/02/19癒合歯 矯正治療 マウスピース
-
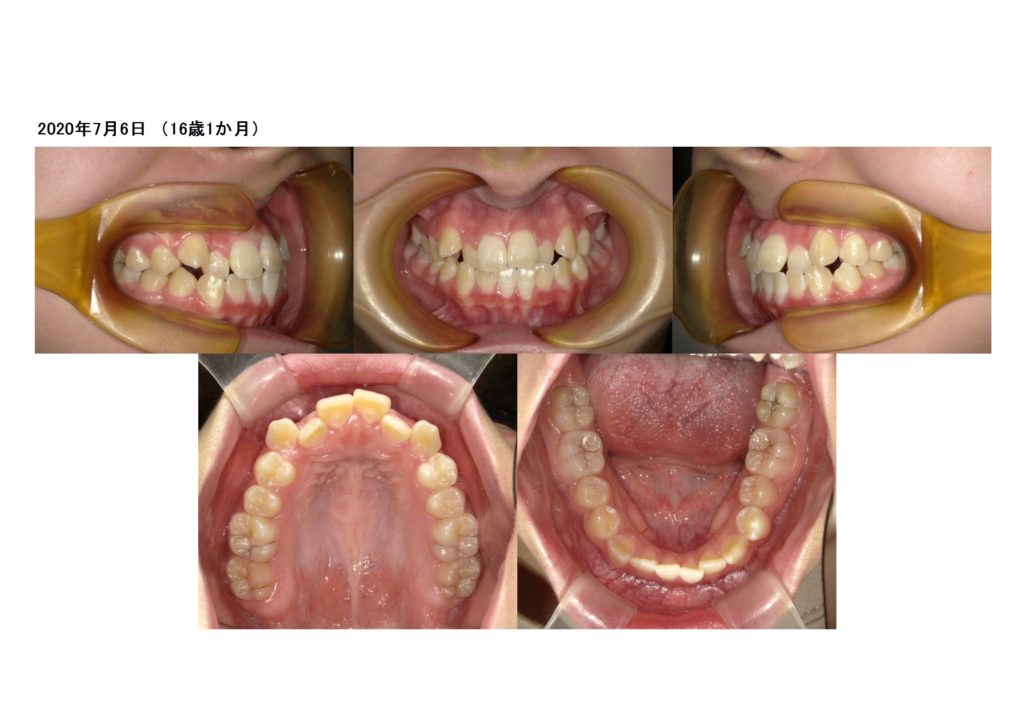
医院ブログ 2022/01/15叢生、ガタガタ、噛み合わせ マウスピース 非抜歯
-
医院ブログ 2021/12/21TrayMinder マウスピース治療中の患者様用アプリ











〒497-0034