医院ブログ 新着一覧
-
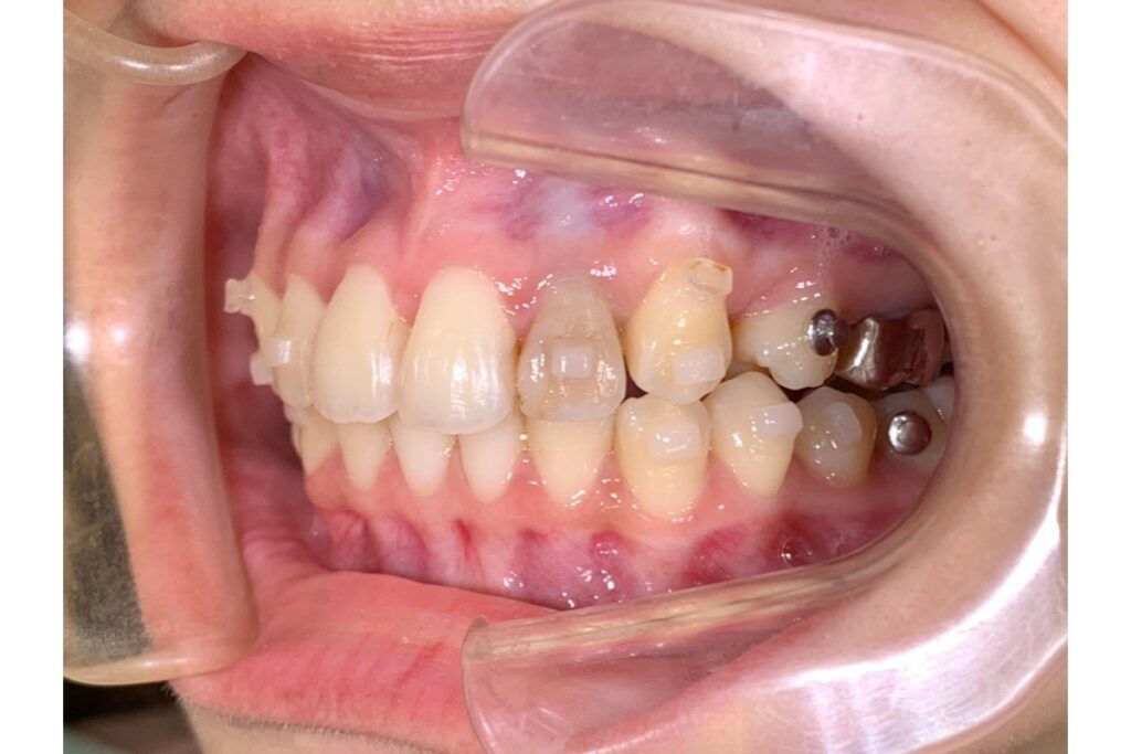
医院ブログ 2025/03/11神経を抜いた歯があっても矯正できる?
-
医院ブログ 2025/03/11開咬(オープンバイト)インビザライン治療症例
-
医院ブログ 2025/03/10矯正治療とセラミック矯正
-
医院ブログ 2025/03/10前歯や奥歯で噛めない 開咬について
-
医院ブログ 2025/03/09矯正治療で行われるIPRについて
-
医院ブログ 2025/03/09補綴物が多くても矯正治療はできるのか
-
医院ブログ 2025/03/0830〜40代から始める矯正治療
-
医院ブログ 2025/03/08インビザラインで出っ歯は治せる?
-
医院ブログ 2025/03/07インビザライン治療 部分矯正 症例
-
医院ブログ 2025/03/07矯正治療で顎関節症になることはあるのか











〒497-0034