トップへ » 医院ブログ » 補綴物が多くても矯正治療はできるのか

補綴物が多くても矯正治療はできるのか

医院ブログ 2025/03/09
名古屋西矯正歯科クリニック 平澤建太朗

歯並びや噛み合わせを改善したいと考え、矯正治療を始めたいと思っている方の中にはすでに補綴物(クラウンやブリッジなどの銀歯、インプラントなど)が多く入っている場合、矯正治療を受けることができるのか不安に思うことがあるでしょう。

結論から言うと、補綴物が多くても矯正治療は十分に可能です。ただし、いくつかの注意点と前提条件がありますので、しっかりと理解したうえで治療に臨むことが大切です。

補綴物が多くても矯正治療を受けることができる理由や注意点、最適な治療法について詳しく解説します。


1. 補綴物が多くても矯正治療はできる理由

補綴物が多くても矯正治療が可能な理由は、矯正治療の目的が歯並びや噛み合わせを改善することにあるからです。補綴物(クラウン、ブリッジ、インプラントなど)を使っている場合でも、歯並びを矯正することは基本的に問題ありません。

以下の理由から、補綴物があっても矯正治療は可能です。

(1) 歯を動かすことができる

矯正治療は、歯を動かして歯並びを整える治療です。補綴物が入っている歯でも、歯の根が健康であれば矯正装置によって歯を動かすことが可能です。特に、歯の根がしっかりと残っている場合には、補綴物を維持しながら矯正を進めることができます。

(2) インプラントやブリッジへの対応

インプラントやブリッジを使用している場合でも、それらを考慮に入れた矯正治療が行えます。例えば、インプラントの位置を調整したり、ブリッジ部分を動かすことで、歯並びの改善が可能です。ただし、インプラントは動かせないため、その周囲の歯の移動が主な焦点となります。

(3) 歯周組織の健康が重要

補綴物を支える歯周組織(歯茎や骨)が健康であれば、矯正治療の成功率が高まります。歯周病や骨の状態に問題がない場合、補綴物を支えながら歯を移動させることが可能です。

2. 矯正治療の際の注意点

補綴物が多い場合、矯正治療を行うにはいくつかの注意点があります。事前にしっかりと歯科医師と相談することが非常に重要です。ここでは主な注意点を挙げていきます。

(1) 補綴物の状態の確認

補綴物が古くなっていたり、劣化している場合は、矯正治療前に修理や交換を行う必要があります。特に、歯の根や補綴物が不安定な場合、そのまま矯正を行うことは難しいか、治療中に問題が発生する可能性が高くなります。治療前に補綴物がしっかりと機能しているかを確認し、必要に応じて修復することが大切です。

(2) 補綴物の種類による影響

セラミッククラウンやセラミックブリッジなどの補綴物は、矯正装置との相性によって破損のリスクがあるため、注意が必要です。特にワイヤー矯正やブラケットが補綴物に触れる部分がある場合、補綴物が破損する恐れがあります。そのため、治療前に補綴物と矯正装置の相性について確認することが必要です。

(3) 長期的な治療計画

補綴物が多い場合、矯正治療を行うには長期的な治療計画を立てることが重要です。途中で補綴物の交換や調整が必要になることがあるため、歯科医師とともに、治療の進行を随時見直すことが求められます。また、補綴物を動かすことができない場合でも、その周囲の歯を動かすことによって、歯並びを改善する計画を立てる必要があります。

3. 補綴物が多い場合に矯正治療が難しくなるケース

補綴物が多い場合でも矯正治療が不可能というわけではありませんが、次のようなケースでは治療が難しくなることがあります。

(1) 歯の根や歯周組織に問題がある場合

補綴物を支える歯の根が感染していたり、歯周病が進行している場合、矯正治療は難しくなります。歯の根が不安定な状態では、補綴物が動くリスクがあり、矯正治療が行えないことがあります。この場合、先に歯周治療を行い、歯の状態を安定させる必要があります。

(2) 過去に行った治療歴に問題がある場合

過去に歯を抜いた上でインプラントやブリッジを入れている場合、矯正治療中に補綴物が動かないように調整が必要となるため、治療が複雑化することがあります。また、インプラントの位置を変更できないため、その周囲の歯の移動が主な治療範囲となり、計画に工夫が必要です。

4. 補綴物が多い場合におすすめの矯正治療法

補綴物が多い場合に適した矯正治療法は、患者さんの状態や目的に応じて異なりますが、以下の治療法がよく選ばれます。

(1) インビザライン(透明なマウスピース型矯正)

インビザラインは、透明なマウスピースを使って歯を矯正する方法で、目立たないのが特徴です。補綴物が多い場合、インビザラインは特に便利です。取り外しが可能なため、補綴物に対する負担が少なく、治療中に補綴物を避けながら歯を動かせるのが利点です。

(2) 部分矯正

部分矯正は、一部の歯だけを矯正する方法です。補綴物が多い場合、全体の歯並びを治すことが難しい場合でも、部分的に歯並びを改善できるため有効です。部分矯正では、矯正装置を最小限に使って必要な歯のみを治療できます。

(3) 固定式矯正装置(ワイヤー矯正)

固定式矯正装置(ワイヤー矯正)は、最も一般的な矯正方法です。補綴物が多い場合でも、治療前に歯科医師がしっかりと計画を立て、補綴物が動かないように工夫することで、問題なく矯正が行えます。治療が進んでいく過程で補綴物を調整することができるため、全体的な治療を通じて矯正が可能です。


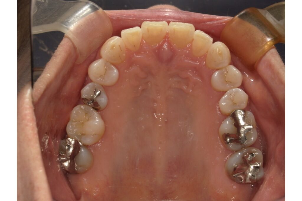
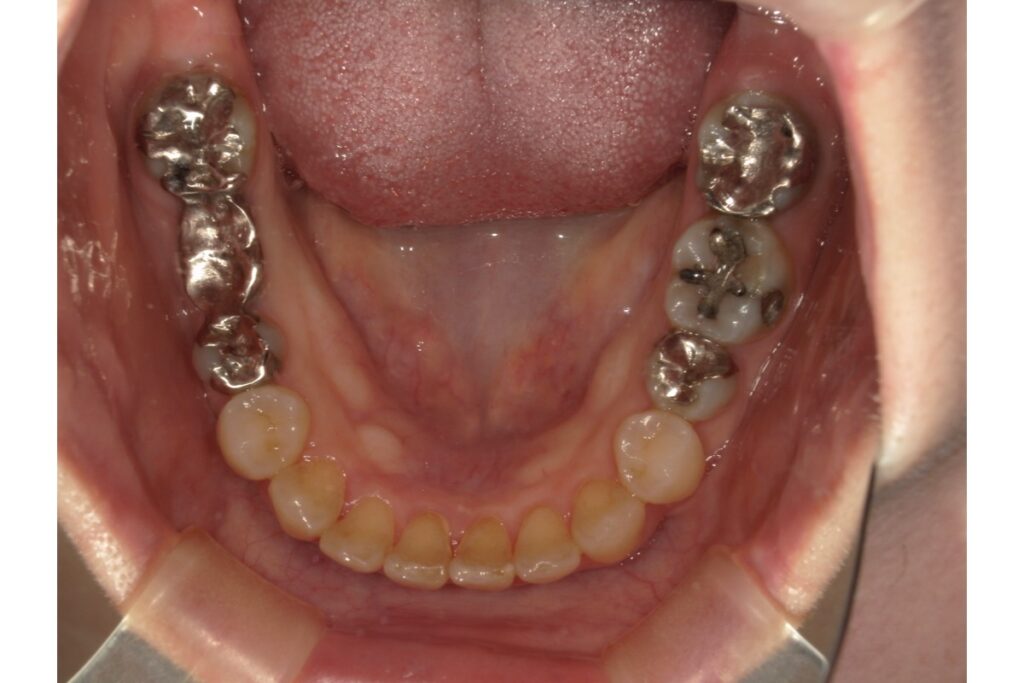
5.症例紹介

実際に補綴物の入っている治療の症例をご紹介します、インビザラインにて治療されました。

治療期間は約1年です。

5. まとめ

補綴物が多くても矯正治療は十分に可能です。しかし、治療を行う際には、補綴物の状態や治療計画についてしっかりと歯科医師と相談することが重要です。補綴物を支える歯周組織が健康であれば、歯並びを改善するための矯正治療はスムーズに進みます。インビザラインや部分矯正など、補綴物に負担をかけない方法を選ぶことで、より安全に治療を進めることができます。

矯正治療を始める前に、現在の歯の状態や治療方法について詳しく相談し、自分に最適な方法を選ぶことが、成功への第一歩です。

友だち追加

カウンセリングをおこなっております

カウンセリング 無料カウンセリング 無料相談メール 当院のカウンセリング内容


コールバック予約

PAGE TOP