トップへ » 新着記事一覧
新着記事一覧
-
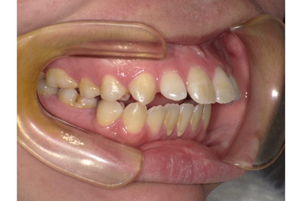
医院ブログ 2025/03/21先天性欠如歯の矯正治療
-
医院ブログ 2025/03/21矯正治療 顎間ゴムをしないとどうなる
-
医院ブログ 2025/03/18インビザライン治療 アタッチメントを外す
-
医院ブログ 2025/03/18歯並びが悪くなる習慣とは?
-
医院ブログ 2025/03/17歯周病でも矯正治療はできるのか?
-
医院ブログ 2025/03/17インビザライン矯正 アライナーチューイー
-
医院ブログ 2025/03/16矯正治療で口元が下がりすぎてしまうことを防ぐには
-
医院ブログ 2025/03/16マウスピース矯正 浮きが出たときの対処法
-
医院ブログ 2025/03/15矯正中の痛み止めを使用するべきタイミングは?
-
医院ブログ 2025/03/15歯の隙間をつくる セパレーションとは











〒497-0034