トップへ » 医院ブログ » 矯正装置が外れやすい人の傾向|外れる原因と今日からできる対策を解説
矯正装置が外れやすい人の傾向|外れる原因と今日からできる対策を解説
矯正治療中によくあるトラブルのひとつが、
「ブラケットやワイヤーが外れる」「マウスピースが浮く」 という問題です。
装置が外れると、
- 治療期間が延びる
- 歯が予定と違う方向に動く
- 痛みや違和感が増える
など、矯正治療の質を落とす原因になります。
しかし実は、装置が外れやすい人には明確な共通点があります。
この記事では、
- 外れやすい人の特徴
- 原因別の対策
- 外れないための生活習慣
などを、分かりやすく解説します。
■ 1. なぜ矯正装置は外れるのか?

矯正装置は「歯に力をかけて動かすもの」なので、
常に負荷がかかっている状態です。
そこに
- 食事の力
- 歯ぎしりの負担
- 唾液・歯の質
- 装置の種類
が加わることで、外れやすくなります。
装置の破損には
- 患者側の要因
- 歯の性質による要因
- 装置の構造的要因
の3つがあり、複数が重なると外れやすさが大きく上がります。
■ 2. 矯正装置が外れやすい人の傾向 7つ
◆ ① 硬いものをよく食べる人
【装置に負担をかけやすい食品】
- おせんべい
- バゲット
- ナッツ類
- スルメ
- 氷
- ハード系のお肉
特に「前歯で噛み切る」癖がある人は、ブラケットが外れやすいです。
◆ ② 歯ぎしり・食いしばりが強い人
無意識に発生する力は、
食事中の3~4倍以上の強さになることも。
ワイヤーやブラケットに常に横方向の負荷がかかり、
装置が浮いたり外れたりしやすくなります。
寝ている間のことなので、本人は気づかないケースが多いです。
◆ ③ 唾液が多い・歯の表面がつるつるしている人
歯科材料がつきにくいタイプの歯があります。
- エナメル質が滑らかすぎる
- 唾液が非常に多い
- 歯磨き直後で歯面が濡れている
などの場合、装置が外れやすくなります。
これは体質・歯質が原因のため、患者さんのせいではありません。
◆ ⑤ 無意識に歯や装置を触ってしまう人
これは外れてしまう原因2位くらいにはランクインするのではないでしょうか?
- 舌でブラケットを触る
- 指で装置を押す
- 爪でひっかく
など、無意識のクセで破損する人はかなり多いです。
調節後、新しい装置がついたり違和感などから装置や歯を指で触ったり舌で触ったりする方がとても多くいらっしゃります。
気になるのはわかりますが、癖になってしまうと治すのに苦労します。なるべく触らずそのまま過ごす意識を持ちましょう。
特にマウスピース矯正では、
舌で押してしまう癖が“浮き”の大きな原因になります。
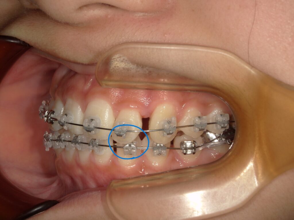
◆ ⑥ 噛み合わせが深い人
ガチっと深く噛み込む噛み合わせの人は、
上の前歯が下のブラケットに当たり、外れることが多発します。
深い噛み合わせの人は、
「治療初期ほど外れやすい」
という特徴があります。

また、過蓋咬合の場合でなくても噛み合わせ位置の関係で装置が外れやすいこともあります。
画像のようにブラケット装置と上の歯の切縁が当たることで装置が何度も外れる、という状態です。
この場合は、ブラケットを違うものに変更するか、歯が動き噛み合わせが整ってくるまで様子見していくことが多いです。・
◆ ⑦ 装置の周りに磨き残しが多い人
最も多い原因がこちらです。
汚れが多いと、
- 湯呑の茶渋のように“ぬるぬる皮膜”ができる
- 接着剤が付きにくくなる
- 接着した材料が剥がれやすくなる
といった問題が起こります。
くっつきが弱い → 外れるという負のループが完成するのです。
■ 3. 装置が外れると起こるトラブル
装置が外れたまま放置すると、次の問題が起きます。
✔ 歯が意図しない方向へ動く
✔ 治療計画が狂う
✔ 治療期間が延びる(最も多い)
✔ マウスピースがはまらなくなる
✔ 痛みが出る場合がある
特にワイヤー矯正では、外れた部位から歯が“自由に動いてしまう”ため早めの対応が必要です。
■ 4. 外れないようにするための対策
患者さんがすぐ実践できる対策をまとめました。
◆ ① 「硬いものは小さく切って奥歯で」
前歯でかじりつくと、ブラケットは一気に取れやすくなります。
奥歯でゆっくり噛む習慣をつけましょう。
◆ ② 寝ている間の歯ぎしり対策
- ストレスケア
- うつ伏せ寝を避ける
- ナイトガードの使用(矯正医と要相談)
歯ぎしりが強い人は、対策をするだけでも破損頻度が激減します。
◆ ③ 舌を装置に触れない習慣
舌癖は予想以上に装置を壊します。
MFT(口腔筋機能療法)で矯正すると、装置破損も減ります。
◆ ④ 歯磨きを丁寧に(ブラケット周りは特に念入りに)
汚れが多いとくっつきが弱くなり、簡単に外れます。
◆ ⑤ スポーツ中はマウスガードを併用
衝突スポーツの人は特に必須です。
◆ ⑥ 外れたら自己判断せずすぐ連絡
放置すると、治療が数週間分戻ることがあります。
■ まとめ
矯正装置が外れやすい人には、
- 食べ方
- 歯ぎしり
- 歯質
- 舌癖
- 深い噛み合わせ
などの共通点があります。
装置がよく外れる人は、
“あなたのせい”ではなく、放置できない原因があるだけ。
矯正医と相談しながら対策すれば、
治療への影響を最小限に抑えることができます。
もし装置が外れやすいと感じたら、
「どうして外れやすいのか?」
をぜひ一度詳しく診てもらってください。
歯並びでお悩みの方や、矯正治療について関心のある方。気になることがあればぜひお気軽にご相談ください😆
下記LINEよりお問い合わせが可能です❕
参考文献
・Proffit WR, Contemporary Orthodontics(装置破損のリスク因子と噛み合わせの関係)
・Graber LW, Orthodontics: Current Principles and Techniques
・日本矯正歯科学会:矯正装置管理の指針











〒497-0034