トップへ » 医院ブログ » 【歯列のアーチ形状と顔の印象】美しい笑顔は「歯並びのカーブ」で決まる?
【歯列のアーチ形状と顔の印象】美しい笑顔は「歯並びのカーブ」で決まる?
鏡を見たとき、「なんだか笑顔がしっくりこない」「顔のバランスが気になる」と感じたことはありませんか?
実はその印象の違い、歯列のアーチ形状(歯の並び方のカーブ)が深く関係しているかもしれません。
矯正治療では歯の位置を整えるだけでなく、口元全体のバランスや笑顔の印象まで変化します。
この記事では、
- 歯列のアーチとは何か
- 顔の印象との関係
- 矯正でアーチを整えるメリット・注意点
を歯科的な視点からわかりやすく解説します。
目次
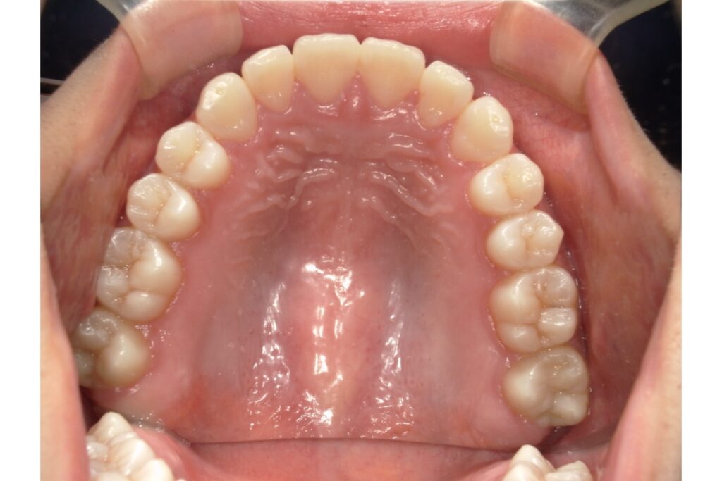
歯列の「アーチ形状」とは?

歯列のアーチとは、上・下の歯が並んでいるカーブの形のことです。
上から見たとき、歯が半円状に並んでいる様子をイメージしてください。
🔸 主な歯列アーチのタイプ
| タイプ | 形状 | 特徴 |
|---|---|---|
| U字型(広め) | 丸みのある緩やかなカーブ | 歯列が広く、笑顔が明るく見える |
| V字型(狭め) | 尖った形 | 顎が細く見えるが、口元が窮屈な印象に |
| スクエア型 | 前歯が直線的 | 男性的でシャープな印象 |
| 楕円型 | 自然でバランスの良い形 | 多くの人の理想的な歯列形状 |
アーチ形状は、顎の骨の形・歯の大きさ・舌の位置・筋肉の使い方などによって決まります。
アーチ形状が「顔の印象」に与える影響
歯列のアーチは、実は顔全体の印象を左右する重要な要素です。
笑顔・口元・横顔の印象までも変えてしまうのです。
① アーチが広い → 明るく若々しい印象

歯列が広い人は、笑ったときに奥歯まで自然に見えるため、
笑顔全体が明るく、健康的に見えます。
口角も上がりやすく、「自信にあふれた表情」に。
また、上顎のアーチが広がると鼻下から口元までの距離が短く見え、顔が引き締まって見える効果もあります。
② アーチが狭い → 口元が窮屈・老けた印象
逆に歯列のアーチが狭いと、
笑ったときに前歯しか見えず「口の端が暗く見える」傾向があります。
さらに、狭いアーチは舌のスペースも小さく、
呼吸が口呼吸になりやすかったり、
頬がこけて見えるなどの顔貌変化を引き起こすこともあります。
③ 非対称なアーチ → 顔の歪み・正中ズレ
片側だけ狭い・歯列の中心がずれている場合、
顎の位置も左右にずれてしまうことがあります。
その結果、顔が非対称に見えたり、顎関節のトラブルが起こることもあります。
🪞 矯正でアーチ形状を整えるとどう変わる?
矯正治療では、歯並びだけでなくアーチ形状そのものをコントロールすることが可能です。
💡 アーチを広げる矯正(アーチエキスパンション)
歯列を外側に広げることで、
- 笑ったときの歯の見え方が広くなる
- 鼻と口のバランスが良くなる
- 舌のスペースが確保され、呼吸がしやすくなる
など、審美面・機能面の両方で改善が期待できます。
顔の印象が変わる仕組み
アーチ形状が変わることで、
- 口元の厚み
- 頬の張り
- 顎のライン
に微妙な変化が起こります。
特に、上顎のアーチが狭い人が矯正で広げると、ほうれい線が目立ちにくくなったり、頬がふっくら見えることがあります。
一方で、無理に広げすぎると口元が出た印象になることもあるため、
骨格と筋肉のバランスを見極めた設計が大切です。
歯列アーチを整える主な治療法

| 方法 | 特徴 |
|---|---|
| ワイヤー矯正 | 細かいアーチ形状の調整が得意。幅・奥行きのコントロールがしやすい。 |
| マウスピース矯正 | デジタル設計でアーチ形状を正確にシミュレーション可能。審美的にも優秀。 |
| 拡大装置(上顎急速拡大装置など) | 骨格的に狭い上顎を広げる。特に成長期に有効。 |
👩⚕️ 矯正で「顔が変わる」と言われる理由
「矯正すると顔が変わる」と聞いたことがある方も多いでしょう。
実際には、“骨格自体”が大きく変わるわけではありません。
変わるのは主に、
- 歯列のアーチ形状
- 唇や頬の支え方
- 表情筋の使い方
これらが変化することで、「自然に若々しく」「柔らかい印象」へと変わることが多いのです。
⚠️ 注意点:顔の印象を優先しすぎないこと
見た目の美しさを重視するあまり、無理にアーチを広げすぎたり、
歯を動かしすぎると、
- 歯茎が下がる
- 顎関節に負担がかかる
- 唇が前に出すぎる
といった副作用が出ることもあります。
「見た目のバランス」と「噛み合わせの機能性」はセット。
見た目のゴールを明確にしつつ、機能的にも安定したアーチ形成を目指すことが大切です。
🌟 まとめ|美しい歯列アーチは“顔のフレーム”を整える
歯列のアーチ形状は、顔全体の印象を決める大切な要素。
広くバランスの取れたアーチは、
- 明るく自然な笑顔
- 若々しい印象
- 呼吸や発音の改善
といった効果をもたらします。
矯正治療を検討している方は、
「歯並びを整える」だけでなく、“顔全体の調和”を意識した治療設計を提案できる歯科医院を選ぶのがおすすめです。
📚 参考文献
- Sarver DM. The importance of smile design in orthodontics. Am J Orthod Dentofacial Orthop. 2003.
- Ackerman MB, Ackerman JL. Smile analysis and design in the digital era. J Clin Orthod. 2002.
- 日本矯正歯科学会「顔貌と歯列の関係について」(2023)
- 厚生労働省 e-ヘルスネット「歯並びと健康」(2024)













〒497-0034