トップへ » 医院ブログ » 【歯列矯正】被せ物がたくさん入っていても矯正治療はできる?

【歯列矯正】被せ物がたくさん入っていても矯正治療はできる?

医院ブログ 2025/07/19
名古屋西矯正歯科クリニック 平澤建太朗

「昔から虫歯が多くて、被せ物がたくさんあるんです」
「差し歯やクラウンがあるけど、矯正ってできますか?」
こういったご相談は、実は非常に多く寄せられています。

年齢を重ねるごとに、虫歯治療や被せ物をしている方は多くいらっしゃいます。
そのような方でも、矯正治療は可能なケースがほとんどです。
ただし、いくつか注意点や治療計画上の工夫が必要になります。

今回は、「被せ物が多い方の矯正治療」について、ポイントをわかりやすく解説していきます。


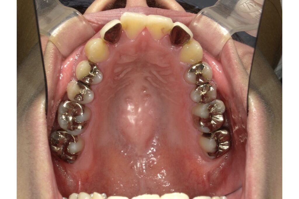
被せ物があっても矯正治療はできる?

結論から言うと、被せ物(クラウン・差し歯・インレーなど)があっても矯正治療は可能です。
ただし、「どの歯に、どんな種類の被せ物があるか」によって、治療方法に調整が必要になることがあります。

👇 被せ物の種類と矯正への影響

【1】クラウン(被せ物)

金属やセラミックなどで歯を全体的に覆っているタイプの被せ物。
→ 基本的に、ブラケット装置を装着することは可能です。
ただし、接着が弱くなることがあるため、特別な接着剤を使ったり、別の方法(バンド使用など)で固定することがあります。

【2】インレー(詰め物)

歯の一部に詰めるタイプ(銀歯・ハイブリッドなど)
→ 基本的に矯正にはほとんど影響なしです。

【3】差し歯(メタルポスト+クラウン)

歯の根だけが残っていて、その上に土台と被せ物をしている場合
→ 差し歯自体が動かせないことはないですが、根の状態が不安定な場合、慎重に判断する必要があります。

矯正前にチェックすべきポイント

✅ 1. 被せ物の状態(劣化・ぐらつきがないか)

被せ物が古く、接着が弱くなっていたり、歯ぐきが下がっている場合は、先に補修や再治療が必要になることもあります。

✅ 2. 根っこの健康状態(歯根の長さ・骨の状態)

レントゲンやCTで確認します。
歯の根が短くなっている歯や、根の先に病巣がある場合は、矯正により負担がかかりすぎないように調整します。

✅ 3. インプラントがあるかどうか

※インプラントは動かせません
ただし、周囲の歯を動かして、かみ合わせを整えることは可能です。


被せ物がある方におすすめの矯正方法

  • ワイヤー矯正(表側・裏側)
     → 接着面が広く安定性がある。ベーシックかつ効果的。ただし、被せ物の歯の表面にはブラケットが付きにくいこともあります。その場合は、歯の表面を少し削り、装置をつけることもありますので、治療後に被せ物のやり直しが必要になる場合もあります。
  • マウスピース矯正(インビザラインなど)
     → 歯に接着するアタッチメントが被せ物だと外れやすいことも。慎重な評価が必要。

※矯正方法の選択は、口腔内の状態やライフスタイルに合わせて決めていきます。

まとめ

被せ物が多くても、矯正治療は十分に可能です。
ただし、装置の接着方法や歯の健康状態によっては、治療内容に少し工夫が必要になることもあります。

「昔にたくさん治療したから…」と矯正をあきらめる必要はありません。
大人になってからでも、きれいな歯並びと正しいかみ合わせを手に入れることは可能です。

気になる方は、まずは無料カウンセリングや精密検査で現状を把握してみることをおすすめします。
当院でも、お一人おひとりのお口の状態に合わせた無理のない矯正プランをご提案しています。

お気軽にご相談くださいね!


当院では無料カウンセリングを行っております。

カウンセリングのお問い合わせはLINEからも受け付けておりますので、お気軽にご連絡ください☀️

友だち追加

参考文献

  1. 日本矯正歯科学会「成人矯正治療に関するQ&A」
     https://www.jos.gr.jp/
  2. 日本臨床矯正歯科医会「矯正治療と補綴(クラウン・ブリッジなど)の関係」
     https://www.jpao.jp/
  3. 日本歯科医師会「成人の歯列矯正と補綴治療」
     https://www.jda.or.jp/

カウンセリングをおこなっております

カウンセリング 無料カウンセリング 無料相談メール 当院のカウンセリング内容


コールバック予約

PAGE TOP