トップへ » 医院ブログ » 【矯正治療】なぜすきっ歯になるの?気になる原因をわかりやすく解説
【矯正治療】なぜすきっ歯になるの?気になる原因をわかりやすく解説
鏡を見るたびに気になる「前歯のすき間」一般的に“すきっ歯”と呼ばれる前歯の隙間は、見た目の印象だけでなく、発音や咀嚼にも影響することがあります。
では、なぜすきっ歯になってしまうのでしょうか?
今回は、すきっ歯になる主な原因をわかりやすくご紹介します。
目次
1. 歯と顎のサイズのバランスが合っていない

すきっ歯の一番多い原因がこちらです。
歯が小さい、あるいは顎が大きすぎると、歯と歯の間にすき間ができてしまいます。
特に、先天的に歯が小さめの人(矮小歯)や、歯の本数が生まれつき少ない人(先天性欠如)はどうしてもスペースが余ってしまうことに。
これは遺伝的要素も関係しているため、「親もすきっ歯だった」というケースも珍しくありません。
2. 上唇小帯(じょうしんしょうたい)の発達異常
前歯のすきっ歯でよく見られる原因のひとつが、上唇小帯というスジの発達です。
これは、上唇と歯ぐきをつなぐ筋のこと。
この筋が通常よりも太かったり長かったりすると、上の前歯の間に入り込んで、歯が自然に寄るのを邪魔してしまいます。
特に小さな子どもではよく見られる現象ですが、大人になってもそのままだとすきっ歯が残る原因になります。
成長とともに細くなっていくことが多いので、自然に切れることもあるため切除が必要になるケースは少なく、様子見となることが多いです。
3. 舌のクセ(舌癖)

舌で歯を押すクセ(舌突出癖)があると、知らないうちに前歯が少しずつ押されて開いていくことがあります。
たとえば、
- 無意識に舌で前歯を押している
- 発音するときに舌が前に出る
- 飲み込みのときに舌が前に動く
といった習慣があると、前歯の間に力が加わり続け、徐々にすき間が広がってしまうのです。
この舌癖はすきっ歯に限らず、開口や受け口、噛み合わせが合わないなどほとんどの不正咬合の原因になります。
4. 歯周病による歯の移動
大人になってから急にすきっ歯になった…という場合は、歯周病が原因かもしれません。
歯周病が進行すると、歯を支えている骨や歯ぐきが徐々に溶けていき、歯がグラグラに。
その結果、歯が動いて位置がずれ、すき間が空いてしまうという現象が起こります。
5. 加齢や生活習慣による変化
年齢を重ねると、噛み合わせの変化や筋力の衰えにより、歯並びが少しずつ崩れていくことがあります。
また、頬杖や歯ぎしりなどの癖も、徐々に歯の位置をずらしてしまう原因に。
知らないうちに生活習慣が歯並びに影響を与えていることもあるんです。
まとめ:すきっ歯の原因は人それぞれ。まずは相談を

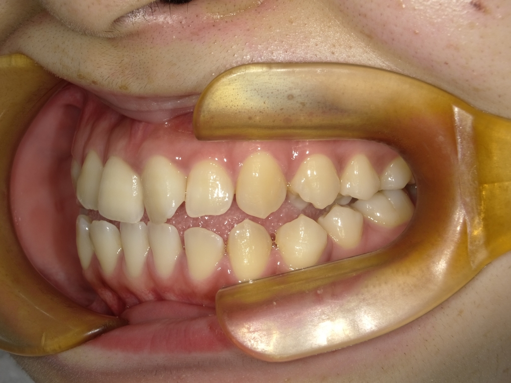
治療前 
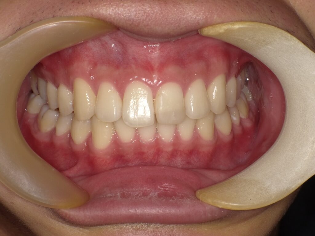
治療後
すきっ歯の原因は、先天的なものから日常生活のクセ、加齢までさまざま。
「前歯にすき間があるのが気になる」「急にすきっ歯になった気がする」そんなときは、歯科医院での相談が第一歩です。
原因がわかれば、マウスピース矯正や筋機能訓練、歯周病治療など、適切な対応が取れます。
見た目だけでなく、健康のためにも、早めのケアをおすすめします。
矯正治療を開始するにはまず精密検査が必要になります。
ご自身に合った矯正治療法で治療するためにも、一度カウンセリングにてご相談ください( ◠‿◠ )
下記のLINEからご連絡可能です。お気軽にご連絡ください!
参考文献
- 日本矯正歯科学会(JOS)公式サイト
https://www.jos.gr.jp/
※歯並びが及ぼす機能的・審美的影響、矯正治療の必要性などを解説。 - 厚生労働省 e-ヘルスネット「歯周病」
https://www.e-healthnet.mhlw.go.jp/information/dictionary/heart/yk-042.html
※歯周病と歯の移動・歯列変化との関係について言及あり。 - 日本歯科医師会「すきっ歯(空隙歯列)について」
https://www.jda.or.jp/
※すきっ歯の原因や治療方法、注意点について一般向けに説明。 - 日本補綴歯科学会雑誌『口腔機能と審美に与える歯列不正の影響』
(Journal of the Japan Prosthodontic Society)
※発音、審美、咀嚼におけるすき間歯列の臨床的影響について記載あり。 - 公益社団法人 日本口腔外科学会「小帯異常(上唇小帯)」
https://www.jsoms.or.jp/
※上唇小帯がすきっ歯の原因となるメカニズムを説明。 - 医療法人社団 ○○歯科 矯正ブログ・コラム(監修:矯正専門医)
※実際の臨床経験や患者事例に基づく情報(参考として活用)











〒497-0034