トップへ » 医院ブログ » 【部分矯正】夏までに歯並びを綺麗にしたい!
【部分矯正】夏までに歯並びを綺麗にしたい!
こんにちは、名古屋西矯正歯科クリニックです🦷
梅雨入りをしたはずが、真夏日のような毎日が続いていますね。
もうすぐ来る夏☀️イベントなど写真を撮る機会が増える季節に向け、「自信を持って笑えるようになりたい!」と考えている方も多いのではないでしょうか?
今回は、「短期矯正」についてを詳しくご紹介します。
矯正治療は何年かかる?
矯正治療と聞くと、2年ほどの治療期間を思い浮かべる方が多いかと思います。もちろんその方の口腔内状況によっても、選択する治療器具や方法でも治療期間は変わってくるためさまざまですが、平均として1〜2年は必要になってきます。
抜歯必要を必要とする治療だと、隙間を閉じていく作業が必要になってくるのでプラス半年ほど期間が長くなります。
実際に早く効果が出ることはあるの?
実は、矯正治療の種類や目的によっては、短期間でも見た目が大きく変わるケースがあります。
特に「前歯の軽いガタつきが気になる」「後戻りしてしまった歯並びを再度整えたい」などといったお悩みであれば、半年以内で目に見える変化が期待できることもあります✨
短期間で治療効果が出るケースとは?
短期間の治療でも、目に見えて効果を得られるケースは、歯並びの状態で変わってきます。
上記でもお伝えしたように、軽度な重なりや矯正治療後の後戻りなどであれば十分に効果を実感できます。
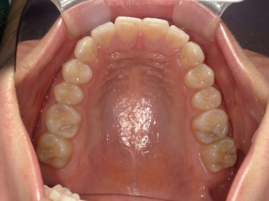
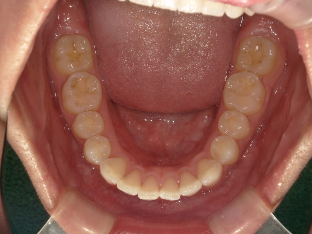
【治療前】


前歯のがたつき
この写真のように前歯のみの軽度ながたつきであれば3〜6ヶ月の治療期間で終えることが可能です!
【治療後
部分矯正のメリットは治療期間が短いこと、そして費用が抑えられることです・
装置をつける期間も短いので、あまり目立つことなく治療を進めることができます。
矯正治療はスタート時期がとても重要になります。
「歯並びを気にせず思い切り笑いたいな」「自分の笑顔に自信を持ちたい」そうお考えの方はなるべく早く矯正相談を受けましょう!
自分の歯並びは部分矯正で治療することができるのか?実際に治療を行うことになったら治療期間はどのくらいかかるのか?気になることは矯正専門医にご相談ください。
当院では無料カウンセリングを行っております。
LINEからご予約をお取りいただけますので、お気軽にご連絡ください( ◠‿◠ )













〒497-0034