トップへ » 医院ブログ » 矯正治療に親知らずの抜歯は必要?
矯正治療に親知らずの抜歯は必要?
矯正前に親知らずは抜かないといけないの?」
「すでに矯正してるけど、親知らずが生えてきた…どうしたらいい?」
こんな疑問、矯正治療を検討している方なら一度は思うのではないでしょうか?
実は、親知らず(第三大臼歯)の扱いは、矯正治療においてとても重要なポイント。
ケースによっては抜歯が必須になりますし、逆に抜かなくていいこともあります。
今回は、矯正治療と親知らずの関係性についてどんなときに抜歯が必要なのか、逆に不要なケース歯あるのか?そして抜歯のタイミングなどを解説します。
目次
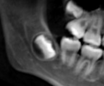
■ そもそも親知らずとは?

親知らず(智歯、第三大臼歯)は、だいたい17〜25歳ごろに生えてくる最も奥にある永久歯です。上下左右合わせて4本ありますが、人によっては「1〜2本しかない」「もともと生えてこない」こともあります。
しかし、現代人は顎が小さくなっているため、親知らずがきれいに生えるスペースが足りないケースが非常に多いのが現状。その結果、
- 横向きに生える(水平埋伏)
- 一部だけ出てくる(半埋伏)
- 他の歯を押すように成長する
などのトラブルを引き起こすこともあります。
■ 親知らずの抜歯が「必要」になるケース
矯正治療を始める際や治療中に、親知らずを抜いた方がよいとされる主なケースは以下の通りです。
① 将来的に歯並びを乱すリスクがあると判断されたとき
親知らずが斜めや横向きに生えていると、手前の歯(第二大臼歯)を押して歯列を乱す原因になります。
とくに矯正治療で整えた歯並びを後戻りさせるリスクがあるため、抜歯がすすめられることがあります。
② 抜歯スペースの確保が必要なとき
矯正治療では歯を動かすスペースを作るため、小臼歯(前から4番目の歯)を抜くことが多いですが、症例によっては親知らずを抜いて奥歯を後方へ動かすことで、抜歯せずに治療を進められる場合もあります。
このように、奥へスペースを広げたいときは、親知らずの抜歯が必要になることがあります。
③ 親知らずがむし歯・歯周病のリスクになっているとき
きちんと生えていない親知らずは歯ブラシが届きにくく、手前の歯をむし歯や歯周病にするリスクがあります。
健康な歯を守るためにも、治療前や保定期間中に抜歯を勧められることがあります。
■ 抜かなくても大丈夫なケース
一方で、以下のような場合は必ずしも抜歯が必要ではないと判断されることもあります。
◎ 親知らずが完全に骨の中に埋まっていて、動く気配がない

レントゲン検査で確認した結果、親知らずが骨の中に完全に埋まっており、周囲の歯に影響しないと判断された場合は、経過観察になります。
◎ きれいに真っ直ぐ生えていて、機能している
中には、上下の親知らずがきちんと咬み合っているケースもあります。このような場合は抜く必要はなく、しっかり磨けていればそのままでOKです。
■ 親知らずを抜く「タイミング」はいつがベスト?
矯正治療に合わせて親知らずを抜くタイミングは、以下のように異なります。
● 治療前に抜く
矯正の治療計画に影響がある場合は、治療を始める前に抜いておく方が理想的です。
● 治療中に抜く
一部のケースでは、歯の動きに合わせて治療の途中で抜歯することもあります。
たとえば、奥歯を後方に移動させるスペースを確保するためなど。
● 治療後(保定期間中)に抜く
矯正後、きれいになった歯並びを維持するために、親知らずの圧力による後戻りを防ぐ目的で抜くこともあります。
■ 抜歯する際の注意点
親知らずの抜歯は、通常の歯よりも時間やリスクがある処置です。
- 下顎の親知らずは神経や血管に近いため、腫れ・痛み・しびれの可能性がある
- 抜歯後は数日間、腫れや食事の制限がある
- 忙しい時期や矯正の治療タイミングに応じて、スケジュールを考える必要あり
矯正医と口腔外科医が連携して抜歯することで、より安全に計画的に行えます。
■ まとめ
矯正治療において親知らずの抜歯が必要かどうかは、年齢・歯の状態・歯列全体のバランスなど、総合的に判断されます。
だからこそ、まずは矯正専門の歯科医院で、レントゲンや口腔内検査を受けてみることが大切です。
あなたの歯並びを守り、健康的な未来をつくるためにも、正しい知識と判断を持っておきましょう!
参考文献
- Proffit, W.R., Fields, H.W., Sarver, D.M. (2013). Contemporary Orthodontics (5th Edition). Elsevier.
矯正治療における親知らずの扱いと、歯列への影響に関するスタンダードな教科書。 - 厚生労働省 歯科疾患実態調査(令和元年)
https://www.mhlw.go.jp/toukei/list/62-1.html
親知らずの保有率や抜歯傾向を含む、日本人の口腔内環境の統計資料。 - 日本口腔外科学会『親知らず(智歯)の抜歯』ガイドライン
https://www.jsoms.or.jp
親知らずの抜歯に関する適応・注意点・合併症などを詳しくまとめたガイド。 - 中村佳之 他.(2018)「矯正治療における智歯抜歯のタイミング」『日本矯正歯科学会雑誌』第77巻 第3号
親知らず抜歯の時期と矯正治療計画の関係について臨床的にまとめた論文。 - American Association of Orthodontists (AAO) – “Wisdom Teeth and Orthodontic Treatment”
https://www.aaoinfo.org
矯正治療と親知らずの関係について、米国矯正歯科医会が患者向けに解説している公式情報。











〒497-0034