過蓋咬合 矯正治療
医院ブログ
2025/04/13
こんにちは名古屋西矯正歯科クリニックです🦷
みなさんはイーと噛んだ時に、下に前歯が見えますか?見えない場合は、過蓋咬合と呼ばれる不正咬合の可能性があります。
今回はそんな過蓋咬合の矯正治療についてご紹介します。
過蓋咬合とは

過蓋咬合とは、上下の歯を噛み合わせたときに、上の前歯が下の前歯よりもかなり大きく前に出てしまっている状態の歯並びをいい、上の歯が下の歯を過剰に覆ってしまっている状態のことを指します。
この状態では、下の歯が上の歯の裏側に隠れ下の前歯が正面から見えないのです。
過蓋咬合は、いくつかのタイプに分けられますが、代表的なものとしては次のようなものがあります:
- 完全過蓋咬合:上の歯が下の歯を完全に覆い、下の歯が見えない。
- 部分過蓋咬合:上の歯が下の歯を一部だけ覆っている。
この状態は、見た目や噛み合わせに影響を与えるだけでなく、噛む力が不自然になったり、歯や顎関節に負担をかけることがあるため、場合によっては矯正治療が必要となることがあります。
治療方法
過蓋咬合の治療では、噛み合わせを浅くしていく治療が主で、それに合わせて噛み合わせなどを調節していきます。
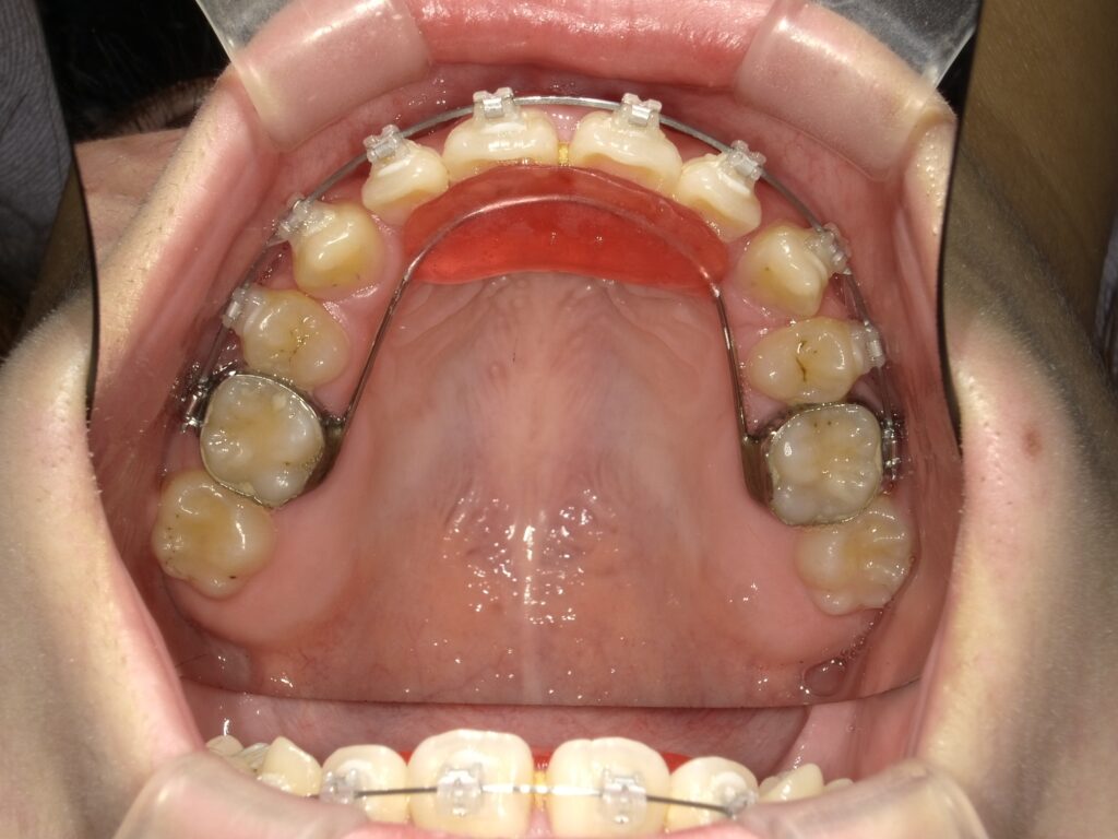
【ブラケット治療】

噛み合わせを正していくために、上前歯裏にバイトプレートという装置を付けました。
これは噛み合わせや顎の問題を改善するために使われます。

【インビザライン】
もちろんインビザライン治療でも治すことはできます。
インビザラインでは、マウスピースにバイトプレートと同じような突起がつきます。

このブロックの当たる位置で噛む癖を普段からつけていただくことで、その位置の噛み合わせになっていきます。
マウスピースを時間通りしっかり使用していても、深い噛み合わせが改善していない場合は、バイトランプの位置で噛めていない可能性があります。
矯正治療についてお考えの方やお悩みの方は、ぜひ一度カウンセリングにお越しください。
参考文献
- 『歯科矯正学(第6版)』
著者:日本矯正歯科学会
出版社:医学書院
概要:矯正歯科の基本的な知識を網羅した教科書で、過蓋咬合の分類や治療方法に関する章が含まれています。過蓋咬合の病態や治療法を理解するための基礎となる一冊です。 - 『臨床矯正学』
著者:三宅博之
出版社:クインテッセンス出版
概要:過蓋咬合をはじめとする噛み合わせの問題に関する臨床的なアプローチを解説した書籍です。矯正治療の実際的な手法が詳しく述べられており、症例ごとのアプローチが学べます。 - 『歯科矯正治療の実際』
著者:西田正樹
出版社:医歯薬出版
概要:過蓋咬合を含むさまざまな噛み合わせの問題に対する治療法を、実際の症例を元に解説している実践的な書籍です。矯正治療に携わる臨床医の参考になります。 - Ngan P, et al. (2006). “Effect of early orthodontic treatment on the development of class II malocclusion.” The Angle Orthodontist 76(6): 1080-1087.
概要:この研究論文では、早期の矯正治療が過蓋咬合やクラスII不正咬合の発展に与える影響について調査しています。過蓋咬合の矯正におけるタイミングの重要性が示されています。 - Proffit WR, Fields HW, Sarver DM. (2019). “Contemporary Orthodontics (6th ed.).”
出版社:Elsevier
概要:現代の矯正治療について総合的に解説した書籍です。過蓋咬合を含むさまざまな咬合異常の診断と治療法について深く掘り下げています。 - Moyers RE. (1988). “Handbook of Orthodontics (4th ed.).”
出版社:Year Book Medical Publishers
概要:矯正学の標準的な教科書で、過蓋咬合を含むさまざまな不正咬合の原因と治療法に関する理論的な背景を提供します。 - 『矯正歯科の臨床』
著者:山田義信
出版社:クインテッセンス出版
概要:矯正歯科の臨床における最新の研究と治療法を紹介しています。過蓋咬合や顎の成長異常の治療に関する最新情報を得ることができます。













〒497-0034