トップへ » 医院ブログ » インビザライン マウスピース裏の突起 バイトランプについて
インビザライン マウスピース裏の突起 バイトランプについて
インビザライン治療中、上前歯の裏側に大きな突起を見つけたことはありますか?当院でインビザライン治療中の患者様の中から、『歯の裏側にもアタッチメントが付くのですか!?』とご質問をいただくことが何度かあります。
インビザライン、マウスピース矯正治療には【バイトランプ】と呼ばれる大きな突起が上前歯の裏側に設置されることがあります。
これは、噛みしめるためのものでアタッチメントではありません。噛み合わせが深い過蓋咬合の改善や、奥歯のすき間へのカバーの目的で設置し使用されるものです。
今回は、そのバイトランプについての説明になります。

バイトランプって?
バイトランプとは、主に上前歯の裏側に付く大きな突起のことをいいます。

この上2~2の裏に付いている青色のブロックがバイトランプです。
治療開始時よりも治療途中から追加されることが多いため、治療中の患者様から『アタッチメントを追加しなくていいのか?』とご質問を受けることが多いのですが、この突起部分にはアタッチメントを追加する必要はありません。
バイトランプは基本、上の前歯1・2番目の歯、全部で4本に設置されることが多いですが、3番目の歯 犬歯にも設置されることもあります。
バイトランプの役割
バイトランプを設置することで、かみ合わせの改善が期待できます。
上下の歯をカチっと噛んだときに、下の前歯が上の前歯には当たらず、このバイトランプに当たるようになります。そうすると、上の前歯には【圧下】とよばれる力が加わります。

圧下の力は、歯が沈み込む力があります。上の前歯の圧下は、マウスピース治療では難しい動きであるため、このバイトランプはとても重要な手助けをしてくれています。
また、前歯の圧下だけでなく、奥歯の噛み合わせ改善にも効果があります。
前歯でバイトランプを噛むと、上下の歯は前歯のみが当たっている状態になり、奥歯が噛み合わない離れた状態になります。そうすることで、挺出させる力を増加させ奥歯のかみ合わせも治すことが出来るのです。
日常の噛み締めから起こる歯茎方向への沈みを防止することができます。
注意点
バイトランプの効果は、きちんと噛むことで発揮されます。よって、バイトランプの後ろ部分を常に噛んでいてしまうと十分に効果が発揮されず、場合によっては逆に上の前歯が前に押される力が働いてしまうことも。
バイトランプが設置されたら正しい噛む位置を把握するようにしましょう。
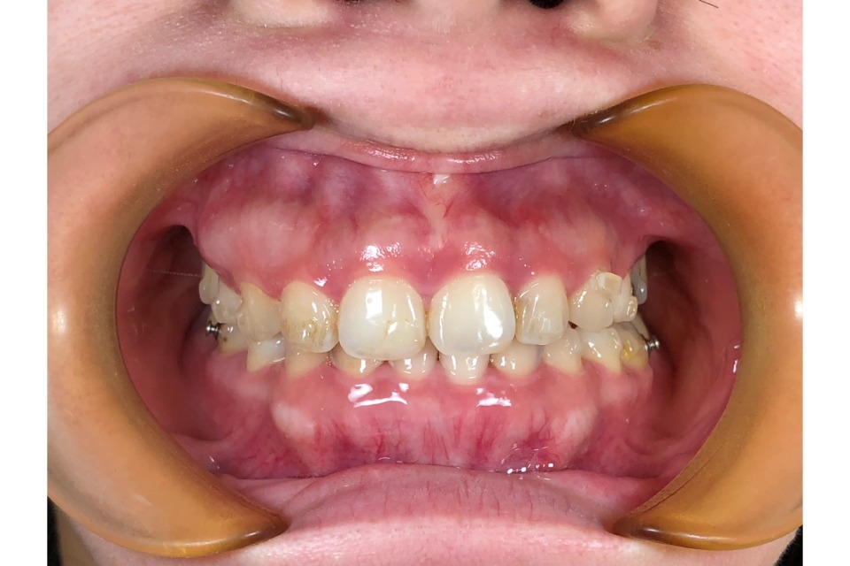
バイトランプを使用すると・・・

バイトランプ設置前
バイトランプ設置後
マウスピース使用状況や歯の動きやすさなど、効果が出るまでの個人差はありますが、半年〜1年ほどでここまで前歯の噛み合わせが改善されます。
まとめ
バイトランプは、主に過蓋咬合の治療に使用される突起です。
噛んだときに下の前歯がその突起に当たることで、上の前歯に圧下する力が加わり効果を発揮するものです。そのため噛む位置がとても大切なものであり、上の前歯が強く出ている上顎前突などの症例では、うまく効果が発揮されず逆効果になってしまうこともあるので、使用の判断や使用時期が大切なものになります。











〒497-0034