部分矯正の注意点
こんにちは、ひらざわ矯正歯科クリニックです^^
最近の朝夜は冬が来たかな?!と思うほど寒くなりましたね。あっという間に10月!体調には気を付けて過ごしてくださいね🍂
今回はブラケット治療の部分矯正で治療を行われた症例のご紹介になります🦷
一部分だけ治したいな、自分の歯は部分矯正が可能なのか?と悩まれている方も多いと思います!最近カウンセリングでも部分矯正を考えているとご来院される方が多いです。分かりやすい症例写真も載せるので、ぜひ参考にしてみてください。
重ねて、部分矯正の注意点や適応もご紹介します☝🏼
まず、部分矯正の方は前歯の3番目の歯から反対側の3番目まで装置を着けます💡↓ ↓

(青丸から青丸のところまで!)
今回は上の歯のみに装置を付けて治療を行いましたが、上下部分を希望される場合は下の歯も同様に3番目の歯から反対側3番目の歯に装置を付けます🦷
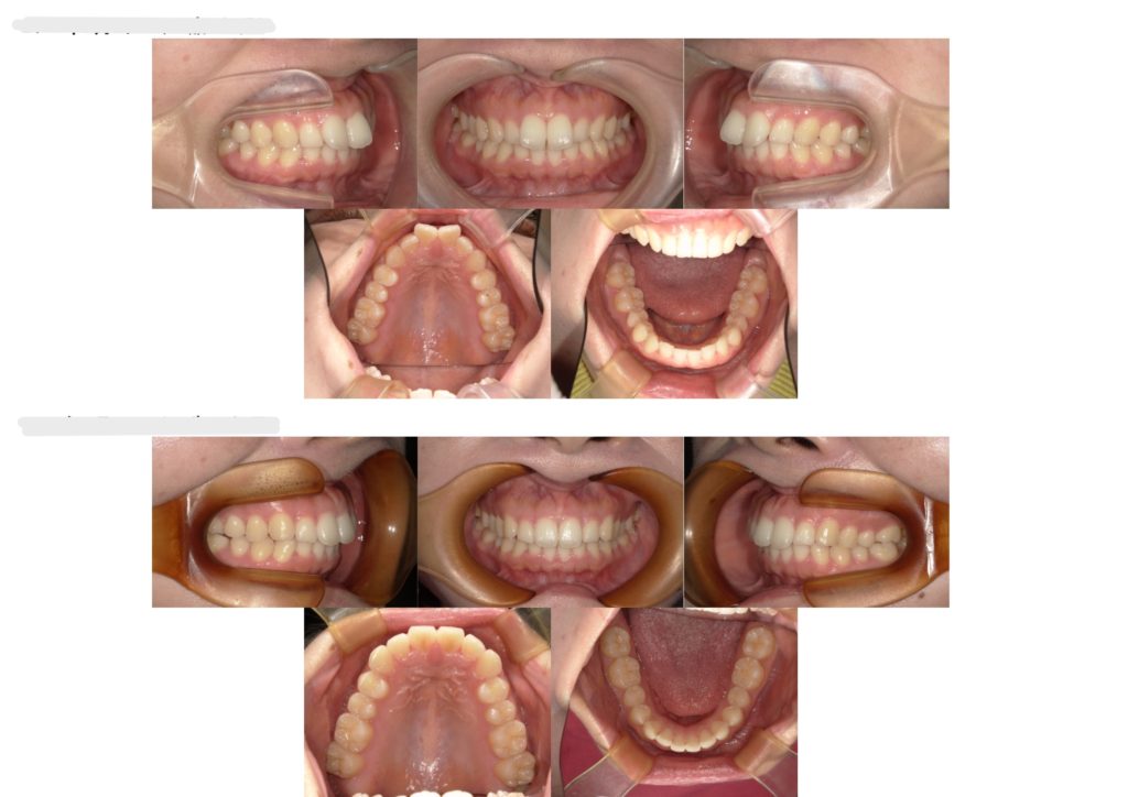
では早速、治療経過の写真を見ていきましょう。

上の写真が治療前、下が治療後のお写真になります。
前歯の捻転が綺麗に並びました!!横から見たときも前歯の出た感じが無くなっていますよね👏🏼しっかり定期的に通っていただきありがとうございました✨
部分矯正の場合は全体を動かすのではなく前歯のみになるので、治療期間も半年ほどの場合が多いです。そのあと保定期間が1年ありますので、トータル1年半~2年程になります。
治療期間が短いというのが、部分矯正のメリットですね。
ただ、部分的に動かした歯というのはとても後戻りしやすいので保定期間中はもちろん、なるべく期間後もリテーナーを使用していただくようお願いしています!特に前歯はすぐに戻りやすいので注意が必要です⚠
部分矯正では、奥歯の噛み合わせが大きくずれている場合は適応が難しいです。『前歯も噛み合わせもどっちも治したいんです!』という方は基本、全顎治療となります。
また、出っ歯や受け口は部分矯正ではきれいに並べるスペースが十分に確保できないため、抜歯をしての治療ケースが多いです。この場合も全顎治療になります👄
部分矯正が適応可能なのは、軽いでこぼこやすきっ歯です。部分矯正で全体を綺麗に並べるのは不可能です。そのため、全体的な改善が必要にも関わらず、治療期間や料金から部分矯正を選択し治療を進めてしまうと、逆に治療期間が長くなってしまう事も、、🌀
部分矯正で自分の歯並びは治療することができるのか、納得のいく並びになるのか、しっかり判断してもらって治療はスタートするようにしましょう!
無料カウンセリングは随時受付中です。お気軽にお問い合わせください📨♪











〒497-0034