トップへ » 治療の種類と料金 » ホワイトニング
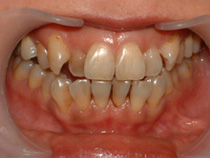
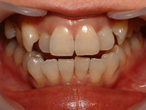
当院のホワイトニング
憧れの口元を手に入れて魅力倍増。スマイルを引き立てるのは白い歯と美しい口元です。整った白い歯と美しい口元であなたの魅力を引き立てましょう。

「美人歯」とは、その人その人に合った理想的な歯並びと、常にケアされた白く輝く歯の色にあります。日頃のケアだけでは限界がある歯並びや色は、歯科医院でプロフェッショナルケアをしてもらうのが一番です。
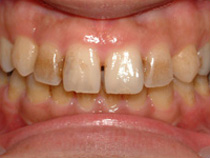
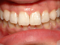
ジェットクリーニング
通常の歯磨きで落ちないたばこのヤニ、ステインなどで変色している黒ずみ、黄ばみ、歯垢、歯石などをきれいにクリーニングするコースです。超音波で歯の汚れを落としたあと、ハンドスケーラーを使って頑固な汚れを落とし、さらにツルツルに磨き上げます。



矯正治療に関するリスクと副作用
- 最初は矯正装置による不快感、痛み等があります。数日間~1、2週間で慣れることが多いです。
- 歯の動き方には個人差があります。そのため、予想された治療期間が延長する可能性があります。
- 装置の使用状況、顎間ゴムの使用状況、定期的な通院等、矯正治療には患者さんの協力が非常に重要であり、それらが治療結果や治療期間に影響します。
- 治療中は、装置が付いているため歯が磨きにくくなります。むし歯や歯周病のリスクが高まりますので、丁寧に磨いたり、定期的なメンテナンスを受けたりすることが重要です。また、歯が動くと隠れていたむし歯が見えるようになることもあります。
- 歯を動かすことにより歯根が吸収して短くなることがあります。また、歯ぐきがやせて下がることがあります。
- ごくまれに歯が骨と癒着していて歯が動かないことがあります。
- ごくまれに歯を動かすことで神経が障害を受けて壊死することがあります。
- 治療途中に金属等のアレルギー症状が出ることがあります。
- 治療中に「顎関節で音が鳴る、あごが痛い、口が開けにくい」などの顎関節症状が出ることがあります。
- 様々な問題により、当初予定した治療計画を変更する可能性があります。
- 歯の形を修正したり、咬み合わせの微調整を行ったりする可能性があります。
- 矯正装置を誤飲する可能性があります。
- 装置を外す時に、エナメル質に微小な亀裂が入る可能性や、かぶせ物(補綴物)の一部が破損する可能性があります。
- 装置が外れた後、保定装置を指示通り使用しないと後戻りが生じる可能性が高くなります。
- 装置が外れた後、現在の咬み合わせに合った状態のかぶせ物(補綴物)やむし歯の治療(修復物)などをやりなおす可能性があります。
- あごの成長発育によりかみ合わせや歯並びが変化する可能性があります。
- 治療後に親知らずが生えて、凸凹が生じる可能性があります。加齢や歯周病等により歯を支えている骨がやせるとかみ合わせや歯並びが変化することがあります。その場合、再治療等が必要になることがあります。
- 矯正歯科治療は、一度始めると元の状態に戻すことは難しくなります。
ホームホワイトニング(2ウィークキット)
来院していただき、あなた専用のマウスピースを作ります。マウスピースの内側にジェルタイプの漂白剤を入れ、1日に2~3回装着することで歯を白くしていきます。
自宅で眠っている間でも行うことができるため、手軽で便利。漂白剤はFDI(アメリカ食品医薬品局)で認可されたものを使用しているので歯を傷つけたり、身体に害を与えたりする心配もありません。
2ウイークキットホワイトニングキットには以下のものが含まれます。
●カスタムトレー(専用ケース付)
●ホームホワイトニングジェル



矯正治療に関するリスクと副作用
- 最初は矯正装置による不快感、痛み等があります。数日間~1、2週間で慣れることが多いです。
- 歯の動き方には個人差があります。そのため、予想された治療期間が延長する可能性があります。
- 装置の使用状況、顎間ゴムの使用状況、定期的な通院等、矯正治療には患者さんの協力が非常に重要であり、それらが治療結果や治療期間に影響します。
- 治療中は、装置が付いているため歯が磨きにくくなります。むし歯や歯周病のリスクが高まりますので、丁寧に磨いたり、定期的なメンテナンスを受けたりすることが重要です。また、歯が動くと隠れていたむし歯が見えるようになることもあります。
- 歯を動かすことにより歯根が吸収して短くなることがあります。また、歯ぐきがやせて下がることがあります。
- ごくまれに歯が骨と癒着していて歯が動かないことがあります。
- ごくまれに歯を動かすことで神経が障害を受けて壊死することがあります。
- 治療途中に金属等のアレルギー症状が出ることがあります。
- 治療中に「顎関節で音が鳴る、あごが痛い、口が開けにくい」などの顎関節症状が出ることがあります。
- 様々な問題により、当初予定した治療計画を変更する可能性があります。
- 歯の形を修正したり、咬み合わせの微調整を行ったりする可能性があります。
- 矯正装置を誤飲する可能性があります。
- 装置を外す時に、エナメル質に微小な亀裂が入る可能性や、かぶせ物(補綴物)の一部が破損する可能性があります。
- 装置が外れた後、保定装置を指示通り使用しないと後戻りが生じる可能性が高くなります。
- 装置が外れた後、現在の咬み合わせに合った状態のかぶせ物(補綴物)やむし歯の治療(修復物)などをやりなおす可能性があります。
- あごの成長発育によりかみ合わせや歯並びが変化する可能性があります。
- 治療後に親知らずが生えて、凸凹が生じる可能性があります。加齢や歯周病等により歯を支えている骨がやせるとかみ合わせや歯並びが変化することがあります。その場合、再治療等が必要になることがあります。
- 矯正歯科治療は、一度始めると元の状態に戻すことは難しくなります。











〒497-0034