トップへ » はじめての方へ » 無料カウンセリング
無料カウンセリングの対象者は?
当院では、矯正治療を検討されている方であるなら、どなたでも受診していただける無料のカウンセリングを行っております。
●治療費はどのくらいかかりますか?
●治療費を分割で支払うことはできますか?
●治療期間はどのくらいかかりますか?
●目立たない矯正装置はありますか?
●うちの子供には矯正治療が必要でしょうか?
●子供の矯正はいつごろから始めたらいいでしょうか?
など、歯並びや矯正治療について様々な疑問や不安がおありのことと思います。
専門医に直接相談したいとお考えの方は、一度ご来院ください。
無料カウンセリングの内容
問診
無料カウンセリングでは、患者さまのご要望をじっくり聞き、お口の中の状況を確認したうえで、詳しい説明をしています。
疑問や不安なこと、歯のお悩み等ございましたら、遠慮なくお話しください。相談は無料ですので、お気軽にご来院ください。
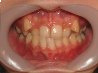
口腔内写真撮影
お口の中の写真を取り、噛み合わせや歯列の状態などを確認します。写真を見ながら、現状についてご説明いたします。
アウトカムシュミレーション

上下の歯列すべてをスキャンした後、シュミレーションを開始します。シュミレーションは10〜20分で完成します。
*アウトカムシュミレーションは別途3,300円かかります。
治療方針の説明
カウンセリングルームは完全個室になっています。他の人を気にすることなく、歯のお悩みはもちろん、治療期間のことなど、どうぞお気軽にご相談ください。
費用の説明、見積もりの発行
料金について説明します。詳細なお見積もりをお出ししますので、ご家族で検討される際などにご活用ください。
無料カウンセリングに関するよくある質問
Q. 家族で行っても大丈夫ですか?
A. 個室のカウンセリングルームでお話しさせていただきます。お父さま、お母さま、お子さま、ご兄弟でご来院いただいても大丈夫です。
Q. まだ、そちらで治療するとは決めてはいないのですが、カウンセリングを受診できますか?
A. 無料カウンセリングを受けていただいた後、ご自身で納得されましたら矯正治療を開始されたらよいと思います。矯正治療をするか決めていなくてもカウンセリングを受けていただいて大丈夫です。
Q. 質問に答えてくれますか?
A. もちろん大丈夫です。不安や疑問は、それぞれに様々です。たくさん質問をしていただき、不安や疑問を少しでもなくしていただく方がよいと思います。
Q. 予約はどうしたらよいですか?
A. お電話でも、メールでも大丈夫です。
お電話でのご予約:
0120-17-18-18











〒497-0034